პირის ღრუს კისტები - მკურნალი.გე

ენციკლოპედიაგამომთვლელებიფიტნესიმერკის ცნობარიმთავარიკლინიკებიექიმებიჟურნალი მკურნალისიახლეებიქალიმამაკაციპედიატრიასტომატოლოგიაფიტოთერაპიაალერგოლოგიადიეტოლოგიანარკოლოგიაკანი, კუნთები, ძვლებიქირურგიაფსიქონევროლოგიაონკოლოგიაკოსმეტოლოგიადაავადებები, მკურნალობაპროფილაქტიკაექიმები ხუმრობენსხვადასხვაორსულობარჩევებიგინეკოლოგიაუროლოგიაანდროლოგიარჩევებიბავშვის კვებაფიზიკური განვითარებაბავშვთა ინფექციებიბავშვის აღზრდამკურნალობასამკურნალო წერილებიხალხური საშუალებებისამკურნალო მცენარეებიდერმატოლოგიარევმატოლოგიაორთოპედიატრავმატოლოგიაზოგადი ქირურგიაესთეტიკური ქირურგიაფსიქოლოგიანევროლოგიაფსიქიატრიაყელი, ყური, ცხვირითვალიკარდიოლოგიაკარდიოქირურგიაანგიოლოგიაჰემატოლოგიანეფროლოგიასექსოლოგიაპულმონოლოგიაფტიზიატრიაჰეპატოლოგიაგასტროენტეროლოგიაპროქტოლოგიაინფექციურინივთიერებათა ცვლაფიტნესი და სპორტიმასაჟიკურორტოლოგიასხეულის ჰიგიენაფარმაკოლოგიამედიცინის ისტორიაგენეტიკავეტერინარიამცენარეთა მოვლადიასახლისის კუთხემედიცინა და რელიგიარჩევებიეკოლოგიასოციალურიპარაზიტოლოგიაპლასტიკური ქირურგიარჩევები მშობლებსსინდრომიენდოკრინოლოგიასამედიცინო ტესტიტოქსიკოლოგიამკურნალობის მეთოდებიბავშვის ფსიქოლოგიაანესთეზიოლოგიაპირველი დახმარებადიაგნოსტიკაბალნეოლოგიააღდგენითი თერაპიასამედიცინო ენციკლოპედიასანდო რჩევები

პირის ღრუს კისტები

მიუხედავად ამისა, საშიშია, ვინაიდან შეუძლია, სრულიად დაშალოს ყბის ქსოვილი და მძიმე დაავადებების მიზეზად იქცეს. როგორ აღმოვაჩინოთ და ვუმკურნალოთ კისტებს? ამაზე შპს #1 სტომატოლოგიური პოლიკლინიკის ქირურგი თინა ჩრდილელი გვესაუბრება.

- ქალბატონო თინა, რა იწვევს კისტების ჩამოყალიბებას?

- ყბა-სახის კისტების ძირითადი მიზეზი ტრავმა და ინფექციაა. კბილის ტრავმირება მხოლოდ რინგზე ან ქუჩურ ჩხუბში კი არ ხდება, მკვრივი საკვების ღეჭვის დროსაც მოსალოდნელია. ინფექცია ფესვის არხში, ჩვეულებრივ, კბილის არასწორი მკურნალობისას იჭრება. იშვიათად, მაგრამ მაინც მოსალოდნელია მისი განვითარება ჰაიმორიტის ან რომელიმე ინფექციური დაავადების შედეგად, თუ დაავადების გამომწვევმა მიკრობმა სისხლის ნაკადით ღრძილში შეაღწია.

- როგორ ყალიბდება კისტა?

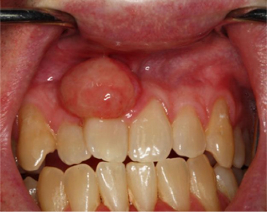
- ყველაფერი პერიოდონტიტიდან (კბილის ფესვსა და ყბის ძვალს შორის მდებარე თხელი ქსოვილოვანი შრის ანთებიდან) იწყება. ანთების შედეგად კბილის ფესვის ირგვლივ ქსოვილები ჩაიზრდება და ახალწარმონაქმნი ვითარდება. როცა ახალწარმონაქმნი 5 მმ-მდე ზომისაა, მას გრანულომას ვუწოდებთ, ამაზე დიდი კი უკვე კისტაა. ეს კისტები რადიკულურია და პირის ღრუს ყველაზე მეტად გავრცელებულ სიმსივნურ წარმონაქმნებს წარმოადგენს. ისინი სხვადასხვა ასაკის ადამიანებს უჩნდება, თანაც ზედა ყბაზე სამჯერ უფრო ხშირად, ვიდრე ქვედაზე.

დროთა განმავლობაში კისტა იზრდება, გარსით იფარება და ყბის ძვალში წარმოქმნის ტომსიკს დაზიანებული უჯრედებისა და მიკროორგანიზმების შემცველი ნახევრად თხიერი შიგთავსით. ამ დროს ადამიანი ვერაფერს გრძნობს, რადგან ავადმყოფი კბილი ჯანმრთელისგან გარეგნულად არაფრით განსხვავდება. ღრძილიც ერთი შეხედვით ჯანსაღია. ერთადერთი, შესაძლოა მყარი საკვების ღეჭვისას წარმოიქმნას უსიამოვნო შეგრძნებები და ისიც - ყოველთვის არა.

- როგორ აღმოაჩენენ კისტას?

- საამისოდ ერთადერთი გზა რენტგენია. კისტას უმეტესად შემთხვევით, კარი¬ესული კბილის გამოსაკვლევად გადაღებული რენტგენოგრამით აღმოაჩენენ ხოლმე.

- მათი მკურნალობის შესახებ რას გვეტყვით?

- მედიცინაში ამ მხრივ საკმაოდ დიდი წინსვლაა. პაციენტებს ვთავაზობთ როგორც ქირურგიულ, ისე თერაპიულ მეთოდებს. მკურნალობის მეთოდს ექიმი პაციენტთან ერთად, ინდივიდუალურად არჩევს.

ქირურგიულ მეთოდებს შორის ყველაზე გავრცელებულია ცისტექტომია - ოპერაცია, რომლის დროსაც იკვეთება კისტა და კბილის ფესვის დაზიანებული მწვერვალი. მეთოდის მთავარი უპირატესობა მისი სრული საიმედოობაა, თუმცა თავად ოპერაცია ტექნიკური თვალსაზრისით საკმაოდ რთულია.

ოპერაციის მეორე სახესხვაობაა ჰემისექცია. ამ დროს ქირურგი კვეთს კისტას, დაზიანებულ ფესვს და მის ზემოთ მდებარე კბილის ნაწილს. ქირურგიული ჩარევა ტარდება ორ შემთხვევაში: მაშინ, როცა კბილი მთლიანად არის მოქცეული კისტის ღრუში და ძლიერ მორყეულია და მაშინ, როცა ფუძემდეა დაშლილი. სამწუხაროდ, კბილის გადარჩენა ზოგჯერ ქირურგიული მკურნალობითაც ვერ ხერხდება.

თერაპიული მკურნალობა შედარებით მეტხანს გრძელდება და ათიდან 7 შემთხვევაში შედეგიანია.

მკურნალობის პირველ ეტაპზე სტომატოლოგი ბურღავს დაავადებულ კბილს და წმენდს ფესვის არხს, აღწევს კბილის ფესვამდე, გადადის კისტაზე და აკეთებს მცირე ზომის ხვრელს, საიდანაც თავისუფლად გამოედინება გარეთ კისტის შიგთავსი. არხი საგულდაგულოდ იწმინდება მადეზინფიცირებელი სითხით და შიგნით ანტიმიკრობული და კისტის გარსის დამშლელი პრეპარატები იდება. მკურნალობა გრძელდება მხოლოდ მას შემდეგ, რაც კისტოზური ღრუ მთლიანად გაიწმინდება დაზიანებული უჯრედებისა და მიკრობებისგან.

მეორე ეტაპზე არხში იდება სპეციალური პასტა, რომელიც დაზიანებულ ადგილას ძვლოვან ქსოვილს გაზრდა-რეგენერაციაში ეხმარება. ამის შემდეგ კბილი იბჟენება. თუ 6 თვის შემდეგ რენტგენოგრამაზე კისტა აღარ აღმოჩნდა, ესე იგი მკურნალობა შედეგიანი ყოფილა. კისტებისა და გრანულომების თერაპიული მკურნალობის შედარებით პროგრესული მეთოდია დეპოფორეზი. იგი საშუალებას იძლევა, ინფექციისგან ერთდროულად გაიწმინდოს კბილის ყველა ფესვი და არა მხოლოდ ის, რომელსაც ექიმი გაბურღავს.

დეპოფორეზის დროს ავადმყოფი კბილის გაფართოებულ არხში შეჰყავთ სპეციალური სუსპენზია და იქმნება მისი ერთგვარი დეპო. შემდეგ სუსტი ელექტრული დენის გავლენით ეს ნივთიერება გადაადგილდება, აღწევს ბორმანქანისთვის მიუწვდომელ ადგილებში, მათ შორის - კისტაშიც, და დაზიანებულ უჯრედებსა და მიკრობებს ანადგურებს. დეპოფორეზის სამი სეანსის შემდეგ გაწმენდილი კბილი იბჟენება, შიგნით დარჩენილი სუსპენზია კი გამოჯანმრთელების პროცესის კონტროლს განაგრძობს. მეთოდის უპირატესობა ის არის, რომ კისტა ასიდან 95 შემთხვევაში იკურნება.

საზოგადოდ, რაც უფრო ადრე აღმოაჩენენ კისტას, მით უფრო ადვილია მკურნალობა, ამიტომ ვურჩევთ პაციენტებს, წელიწადში ერთხელ მაინც გაიარონ პროფილაქტიკური გამოკვლევა, დაითვალიერონ პირის ღრუ, ყველაზე მეტი ყურადღება კი ათი და მეტი წლის წინათ დაბჟენილ ან გადაკრულ კბილებს უნდა მიექცეს.