თავის ტვინის შეშუპება მოსალოდნელია ეპილეფსიური შეტევის, სისხლის დაავადებისა და ენდოკრინული დარღვევების დროს - მკურნალი.გე

ენციკლოპედიაგამომთვლელებიფიტნესიმერკის ცნობარიმთავარიკლინიკებიექიმებიჟურნალი მკურნალისიახლეებიქალიმამაკაციპედიატრიასტომატოლოგიაფიტოთერაპიაალერგოლოგიადიეტოლოგიანარკოლოგიაკანი, კუნთები, ძვლებიქირურგიაფსიქონევროლოგიაონკოლოგიაკოსმეტოლოგიადაავადებები, მკურნალობაპროფილაქტიკაექიმები ხუმრობენსხვადასხვაორსულობარჩევებიგინეკოლოგიაუროლოგიაანდროლოგიარჩევებიბავშვის კვებაფიზიკური განვითარებაბავშვთა ინფექციებიბავშვის აღზრდამკურნალობასამკურნალო წერილებიხალხური საშუალებებისამკურნალო მცენარეებიდერმატოლოგიარევმატოლოგიაორთოპედიატრავმატოლოგიაზოგადი ქირურგიაესთეტიკური ქირურგიაფსიქოლოგიანევროლოგიაფსიქიატრიაყელი, ყური, ცხვირითვალიკარდიოლოგიაკარდიოქირურგიაანგიოლოგიაჰემატოლოგიანეფროლოგიასექსოლოგიაპულმონოლოგიაფტიზიატრიაჰეპატოლოგიაგასტროენტეროლოგიაპროქტოლოგიაინფექციურინივთიერებათა ცვლაფიტნესი და სპორტიმასაჟიკურორტოლოგიასხეულის ჰიგიენაფარმაკოლოგიამედიცინის ისტორიაგენეტიკავეტერინარიამცენარეთა მოვლადიასახლისის კუთხემედიცინა და რელიგიარჩევებიეკოლოგიასოციალურიპარაზიტოლოგიაპლასტიკური ქირურგიარჩევები მშობლებსსინდრომიენდოკრინოლოგიასამედიცინო ტესტიტოქსიკოლოგიამკურნალობის მეთოდებიბავშვის ფსიქოლოგიაანესთეზიოლოგიაპირველი დახმარებადიაგნოსტიკაბალნეოლოგიააღდგენითი თერაპიასამედიცინო ენციკლოპედიასანდო რჩევები

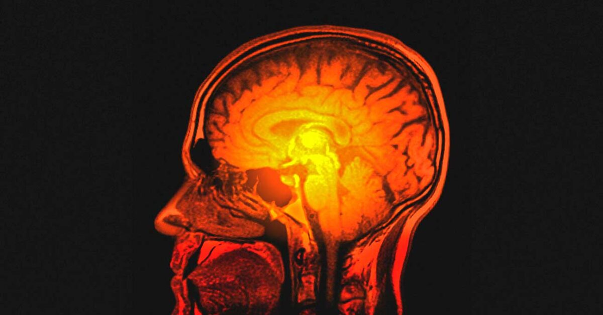
თავის ტვინის შეშუპება მოსალოდნელია ეპილეფსიური შეტევის, სისხლის დაავადებისა და ენდოკრინული დარღვევების დროს

თავის ტვინის შეშუპება შეიძლება განვითარდეს მრავალი ისეთი დაავადების ფონზე, რომელიც ნერვული სისტემის დაზიანებით მიმდინარეობს. ასეთია, უპირველეს ყოვლისა, თავის ტვინის სისხლის მიმოქცევის მწვავე დარღვევა და ქალა-ტვინის ტრავმა. შემდეგ უნდა მოვიხსენიოთ ინფექციური დაავადებები, ინტოქსიკაციები, ჰიპოქსია, თავის ტვინის სიმსივნე, ალერგია, დიდხანს მიმდინარე სომატური (გულ-სისხლძარღვთა და სასუნთქი ორგანოების) დაავადებები, ოპერაციული ჩარევის შემდგომი მდგომარეობები.

თავის ტვინის შეშუპება მოსალოდნელია აგრეთვე ეპილეფსიური შეტევის დროს, სისხლის დაავადების, ენდოკრინული დარღვევის ფონზე, მაიონიზებელი რადიაციის ზემოქმედების შემთხვევაში.

- რა ხდება ამ დროს?

- თავის ტვინის შეშუპება უჯრედშორის სივრცეში სითხის დაგროვების ხარჯზე თავის ტვინის მოცულობის გაზრდაა. თავის ტვინი ქალასშიგა სივრცით არის შემოსაზღვრული, ამიტომ შეშუპების შედეგად ვითარდება მისი მეორეული დაზიანება - მიჭყლეტა. იმატებს ქალასშიგა წნევა. ეს პროცესები იწვევს თავის ტვინში სისხლის მიმოქცევის დარღვევას - თავის ტვინის იშემიას. მისი ქსოვილის მეტაბოლიზმი ანაერობულ ტიპზე გადაერთვება. ტვინის შეშუპება შეიძლება იყოს როგორც ლოკალური (ადგილობრივი), ასევე გენერალიზებული და მოიცვას ერთი ან ორივე ნახევარსფერო.

- რას უჩივის ამ დროს ავადმყოფი?

- თავის ტვინის შეშუპება უჯრედშორის სივრცეში სითხის დაგროვების ხარჯზე თავის ტვინის მოცულობის გაზრდაა. თავის ტვინი ქალასშიგა სივრცით არის შემოსაზღვრული, ამიტომ შეშუპების შედეგად ვითარდება მისი მეორეული დაზიანება - მიჭყლეტა. იმატებს ქალასშიგა წნევა. ეს პროცესები იწვევს თავის ტვინში სისხლის მიმოქცევის დარღვევას - თავის ტვინის იშემიას. მისი ქსოვილის მეტაბოლიზმი ანაერობულ ტიპზე გადაერთვება. ტვინის შეშუპება შეიძლება იყოს როგორც ლოკალური (ადგილობრივი), ასევე გენერალიზებული და მოიცვას ერთი ან ორივე ნახევარსფერო.

- ქალა-ტვინის ტრავმის დროს თავის ტვინის შეშუპებას, წესისამებრ, აქვს დიფუზური ხასიათი ტვინის ღეროს ჩართვით. ტვინის ღეროს შეშუპების მატებასთან ერთად, უპირველეს ყოვლისა, ვლინდება ან ძლიერდება დიენცეფალური სინდრომი, რომლისთვისაც დამახასიათებელია ჰიპერთერმია (მაღალი ტემპერატურა), სუნთქვის გახშირება, სუნთქვის რიტმის ცვლილება დიენცეფალურ ტიპამდე, პულსის გახშირება 120-150-მდე წუთში, არტერიული წნევის მატება.

თავს იჩენს პათოლოგიური სიმპტომები.

თავის ტვინის შეშუპებისთვის ყველაზე მეტად დამახასიათებელია ზოგადტვინოვანი სინდრომი ქალასშიგა წნევის მომატების გამო: ძლიერდება შეტევითი თავის ტკივილი, რომლის ფონზე ვითარდება ღებინება, ირღვევა გულ-სისხლძარღვთა სისტემის მუშაობა. ავადმყოფი აღგზნებულია, ერღვევა ცნობიერება. ამ დროს ზოგადტვინოვანი სინდრომი გარდამავალია.

წაიკითხეთ სრულად