გაიგე როგორ შეგიძლია გაილამაზო ღიმილი ერთ ვიზიტში
ქეთევან ხიზანიშვილმა მისი 20 წლიანი სტომატოლოგიური კარიერის მანძილზე დაიმკვიდრა თავი როგორც ერთ-ერთმა საუკეთესომ მხატვრული რესტავრაციის კუთხით. ამას არაერთი ჯილდო და საერთაშორისო კონკურსებზე გამარჯვებაც მოწმობს. ამიტომ ქეთევანი დეტალურად გაგაცნობს ყველა საჭირო ინფორმაციას აღნიშნულ პროცედურაზე.
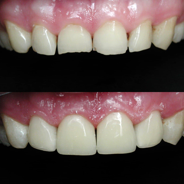
რა არის კბილების მხატვრული რესტავრაცია?
კბილების მხატვრული რესტავრაცია არის კბილის ბუნებრივი და შეძენილი დეფექტების გამოსწორების პროცედურა. პროცედურა გულისხმობს კბილის ფერის, ფორმის, დგომის შეცვლას მაღალესთეტიური ბჟენების საშუალებით.
რომელ კბილებზეა შესაძლებელი პროცედურის ჩატარება?
მხატვრული რესტავრაციის ჩატარება შესაძლებელია როგორც ფონტალურ (წინა), ასევე საღეჭ კბილებზე.
ტარდება თუ არა მხატვრული რესტავრაცია დევიტალურ (მკვდარ) კბილებზე?
მხატვრული რესტავრაციის პროცედურა ტარდება ვიტალურ (ცოცხალ) და დევიტალურ (მკვდარ) კბილებზეც. თუმცა, შედეგები ცოცხალი კბილების დამუშავებისას მეტად ეფექტურია.
პროცედურის ხანგრძლივობა
მხატვრული რესტავრაცია ერთ ვიზიტში სრულდება და საშუალოდ თითო კბილის დამუშავებას 1-1.5 საათამდე სჭირდება. თუმცა, პროცედურის ჯამური ხანგრძლივობა დამოკიდებულია ჩასატარებელი სამუშაოების სირთულესა და მოცულობაზე.
მხატვრული რესტავრაციის ჩატარებამდე საჭიროა...
პროცედურის ჩატარებამდე აუცილებელია სტომატოლოგთან კონსულტაცია და პანორამული რენტგენის გადაღება.
- აუცილებლად უნდა მოხდეს პაროდონტის პრობლემების მოწესრიგება;
- თუ რესტავრაცია იგეგმება დევიტალურ (მკვდარ) კბილზე, საჭიროა, გაკონტროლდეს თუ რამდენად სწორად არის დაბჟენილი არხი;
- თუ საჭიროა, უნდა ჩატარდეს კბილების პროფესიული წმენდა;
- თუ პაციენტს სურს კბილების გათეთრება, სასურველია, გათეთრება მხატვრულ რესტავრაციამდე ჩატარდეს, რომ მიღებული ფერის კონტროლით ჩატარდეს რესტავრაციის პროცედურა.
მხატვრული რესტავრაციის ეფექტის ხანგრძლივობა და შემდგომი მოვლა
მხატვრული რესტრავრაციით შესრულებული სამუშაოების ეფექტის ხარნგრძლივობა მინიმუმ 10 წელია.
რესტავრაციული სამუშაოების ეფექტის შენარჩუნებისა და გახანგრძლივებისთვის:
- საჭიროა კბილების პერიოდული გაპრიალება - მინიმუმ წელიწადში ერთხელ;
- სასურველია კბილების წმენდა არააბრაზიული კბილის პასტით, რომელიც არ აზიანებს რესტავრაციის ზედაპირს;
- სასურველია კბილების ფლოსით (კბილების სპეციალური ძაფით) გაწმენდა;
- არ არის სასურველი თამბაქოს, მზესუმზირის მოხმარება.
ქეთევან ხიზანიშვილის გამოცდილება მხატვრულ რესტავრაციაში
ქეთევან ხიზანიშვილს მხატვრული რესტავრაციის მიმართულებით მუშაობის 20-წლიანი გამოცდილება აქვს. ის წინა კბილების მხატრული რესტავრაციის საერთაშორისო კონკურსის ორგზის გამარჯვებულია. გასაკვირი არაა, რომ მისი ნამუშევრები გამოირჩევა ბუნებრივობითა და მაღალი ხარისხით.

ქეთევანს სტომატოლოგიის ყველა მიმართულებით აქვს სამუშაო ლიცენზია. სწორედ სხვადასხვა მიმართულებით მუშაობის გამოცდილება ეხმარება მას, სწორად შეაფასოს პაციენტის საერთო სურათი და შეურჩიოს კომპლექსური და ზუსტი მკურნალობა.
რა ღირს მხატვრული რესტავრაცია?
მხატვრული რესტავრაციის ფასი დამოკიდებულია კბილების მდგომარეობაზე და განისაზღვრება იმ მანიპულაციების ერთობლიობით, რაც სასურველი ეფექტის მისაღებად იქნება საჭირო.
თუ დაინტერესებული ხარ კბილების მხატვრული რესტავრაციით, ესტუმრე ხიზანიშვილის სტომატოლოგიურ ცენტრს და იანვრის ბოლომდე მიიღე 25%-იანი ფასდაკლება პროცედურაზე. გადაიხადე 150₾ (200₾-ის ნაცვლად).
მხატვრული რესტავრაციის რეალური შედეგების ნახვა შესაძლებელია ხიზანიშვილის სტომატოლოგიური კლინიკის ფეისბუქ და ინსტაგრამ გვერდებზე:
- Facebook: https://www.facebook.com/khizanishvilidentalcenter/
- Instagram: https://instagram.com/kkhizanishvilidentalcenter?igshid=1dttfztiton4s
დროა, გაილამაზო ღიმილი!
R